픽사베이 제공
근육량이 많고 내장 지방이 줄어들면 뇌의 노화도 늦춰진다는 연구 결과가 나왔다.
픽사베이 제공
픽사베이 제공
최근 ‘저속 노화’에 대한 관심이 높다. 노화를 늦추고 건강하게 오래 살기 위해 많은 사람이 식단 관리와 운동으로 건강을 지키려고 한다. 그런데, 운동이 신체적 건강뿐만 아니라 정신적 건강에도 도움이 된다는 연구 결과가 나와 눈길을 끈다.
미국 세인트루이스 워싱턴대 의대 영상의학과 연구팀은 근육량이 많고 내장 지방이 줄어들 경우 뇌의 노화가 늦춰진다고 24일 밝혔다.
연구팀은 근육량이 많고 내장 지방 비율이 낮은 신체 특징을 가진 사람들이 그렇지 않은 사람보다 뇌 나이가 젊다는 사실을 밝혀냈다. 이 연구 결과는 이달 말 미국 시카고에서 열리는 ‘북미영상의학회’(RSNA) 연례 회의에서 발표될 예정이다.
연구팀은 건강한 성인 남녀 1164명을 대상으로 전신 MRI 검사를 했다. 연구팀은 지방은 밝게, 액체는 어둡게 보여줘 근육, 지방, 뇌 조직을 최적으로 영상화할 수 있게 하는 T1 강조 영상 기법을 결합했다.
연구팀은 MRI-T1 영상을 인공지능 알고리즘을 사용해 전체 근육량, 내장 지방, 피하 지방, 뇌 나이를 정량화했다.
미국 세인트루이스 워싱턴대 의대 제공
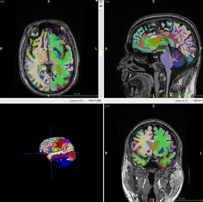
인공지능이 뇌 나이를 계산할 때 사용하는 3차원 T1 용적 MRI 스캔에서 얻은 데이터. 뇌를 여러 영역으로 나누어서 각 부분의 부피를 어떻게 측정했는지 보여준다.
미국 세인트루이스 워싱턴대 의대 제공
미국 세인트루이스 워싱턴대 의대 제공
그 결과, 내장 지방 대 근육 비율이 높을수록 뇌 나이가 더 많다는 사실이 확인됐다. 근육이 많은 실험 참가자는 더 젊은 뇌를 가진 반면, 근육량에 비해 숨겨진 뱃살이 많은 사람은 더 나이 들어 보이는 뇌를 가진 것으로 나타났다. 반면 피부 바로 밑에 있는 피하 지방은 뇌 노화와 관련이 없는 것으로 확인됐다.
연구팀에 따르면 근육을 키우고 내장 지방을 줄이는 것이 뇌 건강을 유지하는 실천 가능한 목표다. 오젬픽 같은 GLP-1 관련 체중 감량 약물은 지방 감소에 강력한 효과가 있지만, 근육량 손실을 증가시킬 수 있다. 연구팀은 체지방을 줄이기 위해 약물에 의존하는 것은 뇌 건강에 도움이 되지 않는 만큼 다른 방법을 찾아야 한다고 조언했다.
연구를 이끈 사이러스 라지 교수는 “이번 연구는 근육량이 많고 체지방이 적은 건강한 몸을 가진 사람들이 뇌도 젊다는 점을 보여줬다”며 “뇌 건강이 좋으면 알츠하이머 같은 퇴행성 뇌신경 질환 발생 가능성도 작아질 것”이다”라고 설명했다.
Copyright ⓒ 서울신문 All rights reserved. 무단 전재-재배포, AI 학습 및 활용 금지

































