머리카락보다 얇은 칩 이식 시력 회복
유럽서 황반변성 환자 대상 임상 성공
칩 이식 후 특수 안경으로 글자 읽는 어빈. 무어필즈 안과병원 홈페이지 캡처
실명 환자 38명이 눈 속에 2㎜ 크기의 칩을 이식받고 시력을 되찾았다. 유럽 5개국이 참여한 국제 임상시험 결과, 칩을 이식받은 32명 중 27명이 다시 글자를 읽을 수 있게 됐다고 영국 텔레그래프가 20일(현지시간) 보도했다.
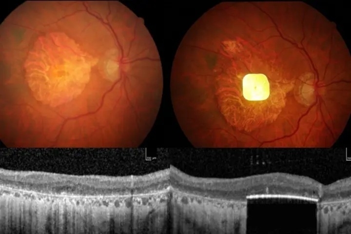
영국·프랑스·독일·이탈리아·네덜란드 의료진은 건성 황반변성(AMD) 환자들에게 미국 바이오테크 기업 사이언스 코퍼레이션이 개발한 ‘프리마(Prima)’ 임플란트를 망막 아래 삽입했다. 머리카락 굵기 정도인 이 초소형 광전 마이크로칩은 특수 안경과 연동돼 작동한다.
환자들이 착용한 안경에는 비디오카메라가 내장돼 있다. 카메라가 포착한 영상은 적외선 신호로 변환돼 눈 속 칩으로 전송되고, 휴대용 프로세서를 거쳐 선명하게 보정된다. 최종적으로 처리된 이미지는 임플란트와 시신경을 통해 뇌로 전달된다.
환자들은 수개월간 훈련을 받았다. 새로운 방식으로 들어오는 시각 정보를 뇌가 해석하는 법을 익히기 위해서다.
영국 측 임상시험을 이끈 런던 무어필즈 안과병원 마히 무킷 전문의는 “이들은 더 이상 읽거나 쓰거나 얼굴을 알아볼 수 없었던 노인 환자였는데, 다시 시력을 활용하기 시작했다”라며 “인공 시력 역사상 새로운 시대로, 실명 환자들이 실제 의미 있는 중심 시력 회복을 경험한 것은 전례 없는 성과”라고 평가했다.
칩 삽입 전과 후. 무어필즈 안과병원 홈페이지 캡처.
뉴잉글랜드 의학저널에 게재된 이 연구의 주저자 프랑크 홀츠 독일 본대학 안과 교수는 “지리적 위축증으로 실명한 환자에게 기능적 중심 시력을 회복시킬 수 있음을 처음 확인했다”며 “말기 AMD 치료의 패러다임 전환”이라고 말했다.
시각장애인으로 등록된 70세 실라 어빈은 칩 이식 전 눈앞에 검은 원반 두 개가 가려 독서와 운전이 불가능했다. 그는 “열렬한 독서광이었는데 그 삶을 되찾고 싶었다. 처음엔 전혀 볼 수 없었지만 어느 날 글자 가장자리가 보이기 시작했고, 글자 하나가 보였을 땐 정말 짜릿했다”라고 말했다.
다만 어빈은 특수 안경으로 글자를 읽을 때 엄청난 집중력이 필요하고, 화면이 흔들리지 않도록 머리를 고정해야 해서 야외에서는 장치를 사용하지 않는다고 밝혔다.
프리마 임플란트는 아직 정식 허가를 받지 않아 임상시험 외에는 사용할 수 없으며, 비용도 불분명하다. 무킷 전문의는 몇 년 안에 영국 국민보건서비스(NHS)를 통해 이 기술이 제공되길 희망했다.
다만, 선천적 시각장애인은 뇌로 신호를 전달할 기능성 시신경이 없어 이 임플란트의 도움을 받기 어렵다고 영국 BBC는 전했다.
Copyright ⓒ 서울신문 All rights reserved. 무단 전재-재배포, AI 학습 및 활용 금지
































