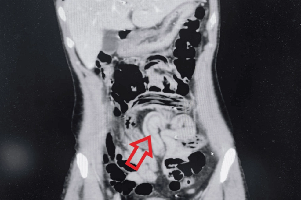
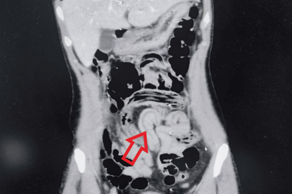
정맥 조영제를 이용한 복부 컴퓨터 단층촬영으로 소장과 대장 고리에서 공기로 채워진 선형적 공동 변화가 관찰됐다. 큐레우스
극심한 복통 때문에 병원을 찾았다가 충수염(맹장염) 진단을 받고 수술을 마친 20대 여성이 회복 도중 입을 통해 회충이 밖으로 나온 사례가 전해졌다.
최근 사우디아라비아 킹 살만 병원 일반외과 의료진에 따르면 필리핀 국적의 A(29)씨는 심한 배 아픔을 호소하며 응급실을 찾았다.
A씨는 초기 배꼽 주변에서 시작된 통증이 복부 전체로 확산했고, 식욕 부진과 구토 증세도 동반된 것으로 전해졌다.
의료진은 컴퓨터단층촬영(CT)을 통해 장내에 존재하는 가늘고 긴 이물질을 포착해 회충 감염을 의심했다.
정밀 검사 결과 맹장 끝에 염증이 생긴 충수염이 확진됐으며, 즉시 복강경 충수절제술이 진행됐다.
수술 직후 회복 과정에서 A씨는 구토했고, 이 과정에서 살아있는 회충이 배출된 것으로 확인됐다.
의료진은 “회충이 장에서 움직이다가 충수 입구로 들어가 충수염을 유발했을 가능성이 있다”고 설명했다.
이어 “구토로 회충이 나오긴 했지만 장 안에 남아 있을 가능성이 큰 상태라서 구충제인 알벤다졸을 투여했다”고 밝혔다.
회충은 인분 비료를 사용하던 1970~1980년대 한국에서 흔하게 발견되던 기생충이다.
감염 초기에는 별다른 증상이 없으나 개체 수가 증가하면 장을 자극해 복통이나 설사를 일으킨다.
주로 소장에 기생하며 영양분을 가로채기도 한다. 드물게 소장에서 위나 간으로 이동할 경우 극심한 통증과 구토를 유발하며, 외과적 수술이 필요할 수도 있다.
이미 감염된 상태라면 알벤다졸이나 플루벤다졸 성분의 구충제를 복용해 치료할 수 있다. 이번 사례는 국제 의학 저널 큐레우스(Cureus) 지난 17일 자에 게재됐다.
이런 가운데 생선회 섭취에 따른 고래회충 감염도 늘고 있다.
특히 방어철인 요즘 고래회충에 대한 주의보도 잇따르고 있다.
고래회충은 해양 포유류의 위장에 기생하는 기생충으로 이 유충에 감염된 어류 등을 날것으로 먹었을 때 인체에 감염돼 나타나는 기생충 감염성 질병이 바로 고래회충증이다.
증상으로는 복통, 구토, 메스꺼움 등이 있고, 벌레 몸체가 위장 벽을 파고 들어가면 위염이나 위궤양이 나타나 엄청난 통증을 일으킨다.
의료계는 내시경을 해서 잡아 빼내야 하며, 고래회충 때문에 사망한 사례도 있다고 설명했다.
국내에서 생선회 섭취로 인한 고래회충증 발병은 꾸준히 보고되고 있다.
2021년 7월 고래회충 감염으로 복통과 구토로 고생한 개그우먼 정경미 모습. 정경미 인스타그램 캡처
개그우먼 정경미 역시 2021년 7월 고래회충에 감염돼 복통과 구토로 고생했던 사연을 공개했다.
당시 병원을 찾은 정경미는 “내시경 후 선생님 말씀 ‘대단하세요! 진짜 고래회충이 있었어요’하고 그 녀석을 보여주셨다. 두 눈이 반짝거리던 고래회충 녀석”이라며 “왜 나만… 다른 사람들은 평생 한 번 있을까 말까 한 일인데”라고 털어놨다.
Copyright ⓒ 서울신문 All rights reserved. 무단 전재-재배포, AI 학습 및 활용 금지
Q.
기사를 끝까지 읽으셨나요? 이제 AI 퀴즈로 기사의 핵심 내용을 점검해보세요.
A씨의 충수염 원인으로 의료진이 추정한 것은?































